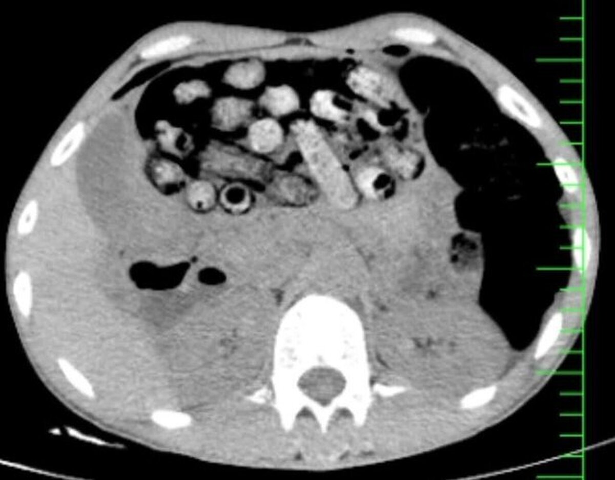
خروج ۹۰ بسته مواد مخدر از معده و روده یک بیمار در کرج +عکس
به گزارش روزنامه اینترنتی فراز، دانشگاه علوم پزشکی البرز روز سهشنبه ۲۰ آبان اعلام کرد: مردی میانسال با همراهی مأموران و با شکایت از درد شدید شکم و کتف به اورژانس مرکز آموزشی درمانی شهید مدنی کرج مراجعه کرد.
براساس اطلاعات اولیه مأمور همراه، بیمار پیش از مراجعه، اقدام به بلع تعدادی بسته محتوی مواد مخدر کرده بود. در پی انجام تصویربرداری فوری، تعداد زیادی بسته مشکوک در معده و روده کوچک و بزرگ وی مشاهده شد.
به نوشته ایسنا، با توجه به خطر بالای پارگی احتمالی بستهها و بروز عوارض تهدیدکننده حیات، بیمار بلافاصله به اتاق عمل منتقل شد و جراحی سنگین وی از ساعت سه بامداد آغاز شد.
در این جراحی که به سرپرستی دکتر سامان شیخی، عضو هیأت علمی گروه جراحی عمومی دانشگاه علوم پزشکی البرز و با همکاری تیمهای اورژانس، تصویربرداری، بیهوشی و جراحی انجام و ۹۰ بسته از معده و روده بیمار خارج شد.

هشدار!
فروش خاک کشور قانونی میشود!
در گفتوگوی فراز با دو نماینده مجلس بررسی شد:
چرا مجلس با طرح تفکیک وزارت راه و شهرسازی مخالفت کرد؟
- تازهها
- پربازدیدها
بررسی روابط دوجانبه، تحولات سیاسی و ازسرگیری پروازهای مستقیم ایران–لبنان
مذاکرات با ایران را به پرونده هستهای و موشکهای بالستیک محدود نکنید!
ثبت ۱۱۵ فوتی از ابتدای موج امسال و تداوم اوجگیری تا یک ماه دیگر
ریسک مالیاتی شرکتها با دانشگاه صفر میشود
رایزنی مجدد مصر و آژانس درباره پرونده هستهای ایران
بسیج ۵۰۰ وکیل جهادی برای حمایت حقوقی از آمران به معروف
رشد منفی در کمین؛ چرا بخش انرژی ایران به «فرماندهی اقتصادی واحد» نیاز دارد؟
روسیه و ایران متعهد به نظم جهانی دموکراتیک و مقابله با فشارهای غرب هستند
«بینظمی نوین جهانی»؛ سودان و فلسطین در صدر فهرست اضطراری انسانی سال ۲۰۲۶
توافق ایران و روسیه برای عملیاتیسازی کریدور شمال–جنوب
حکم اولیه دادگاه کره جنوبی برای ۴ ورزشکار ایرانی به اتهام تجاوز اعلام شد
سخنگوی دولت: ایران پیامی را برای آمریکا ارسال نکرده
سخنگوی قوه قضائیه: ارتباط عامل شهادت قاضی رازینی و مقیسه با منافقین محرز شد
اصلاحات اقتصادی در راستای حفظ کرامت و منزلت مردم انجام میشود
روایت دانشجویان از آنچه در علوم تحقیقات گذشت
زنوزی کیست و چگونه ثروتمند شد؟!
از رشت تا علوم و تحقیقات | ویدیوهای عجیبی که این روزها منتشر میشوند
حاج علیاکبر انصاری که بود؟ ثروت پسرانش از کجا آمد؟
ویدیو: بمبهای سنگرشکن چگونه عمل میکنند؟
فرسودگی و خرابی قطارهای مترو/ عضو شورای شهر: ما هم نگرانیم
میهن: بستنی سهبعدی و حاشیههای تمامنشدنی
کوچکزاده دستکم در ۶ سال اخیر، حتی یکریال مالیات هم نداده است!
قیصر چگونه قیصر شد: داستان آفرینش یک اسطوره
لولیتا بخوان و به ایران حمله کن!
تجاوز سربازان اسراییلی به زنان در بیمارستان الشفا
اینفوگرافیک؛ ۲۱ جنجال قالیباف در ۱۸ سال
کشته شدن ۳۰۰ مهاجر افغانی: جعل خبر یا واقعیت؟
یک بزم کوچک در اسپیناس پالاس...
معامله زیر قیمت کاتد مس فملی
ملی مس ایران در یک روز ۱۲۰۰ میلیارد تومان رانت توزیع کرد!
از مدافع حرم تا مدافع موسیقی زیر زمینی